L’orthodontie neuromusculaire : présentation et cas cliniques
Présentation de l'orthodontie neuromusculaire
L’orthodontie systémique entre dans un complexe pluridisciplinaire et permet d’appréhender l’ODF comme une discipline médicale. Ce système complexe nécessite une coopération de personnes pour comprendre les malocclusions et les troubles qui y sont éventuellement associés (ATM, sommeil, usures dentaires….).
En vidéo
Comprendre la mastication
mastication à droite
mastication à droite ptérygoidiens
Les AFMP - Angles Fonctionnels Masticateurs de Planas
Les Angles Fonctionnels Masticateurs de Planas (AFMP) sont décrits par Pédro Planas en 1985. Ils expriment l’orientation du plan occlusal par rapport à la base du crâne.
Ce déterminant antérieur représentant les sorties de cycles de mastication, est un déterminant facile à observer et reproductible. Il a l’avantage de pouvoir être analysé aisément au fauteuil.
Il ne contredit pas le déterminant postérieur (pont d’émail) mais permet au praticien une lecture aisée de la dysfonction masticatoire.
Au sein du MASTER ONM, nous verrons comment se familiariser avec cet outil diagnostic trop souvent oublié mais d’une aide précieuse pour nos diagnostics et pour nos traitements.
Les outils numériques utiliser en ONM améliorent encore cette lecture visuelle.
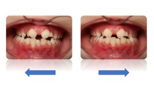
La Classe II Subdivision
La classes II subdivision fonctionnelle est la conséquence d’une mastication préférentielle voir exclusivement unilatérale. Cette dysfonction engendre alors une bascule du plan d’occlusion dans le plan frontal mais également dans le plan vertical et sagittal.
L’orthodontie systémique permet d’appréhender cette pathologie par l’analyse des latéralités mandibulaires (AFMP).
Le traitement qui en découle est donc fonctionnel et stable car il permet une réorientation du plan occlusal, symétrisant ainsi les AFMP et donc la mastication.
C’est donc la fonction qui joue le rôle de contention des traitements systémiques.
Il est important d’appréhender cette pathologie sur le plan pluridisciplinaire. Au sein du MASTERONM, nous verrons l’intérêt de la kinésithérapie maxillo-faciale.
Savoir adresser et connaitre ses correspondants est une des clés de nos réussites.
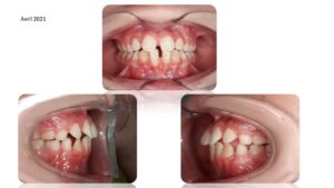
La Classe III Squelettiques
Les classes III squelettiques sont l’expression d’une orientation pathologique du plan occlusal et de la croissance faciale.
L’orthodontie systémique permet d’appréhender cette pathologie par l’analyse des latéralités mandibulaires.
Le traitement qui en découle est donc fonctionnel et stable car il permet non pas seulement une protraction du maxillaire mais une réorientation complète de celui-ci. Cette prise en charge permet de retrouver une proprioception maximale du prémaxillaire dans la mastication, gage de stabilité à long terme.













